Zirconia Crown in Fethiye Turkey Health Tourism in Fethiye with Tesla Travel: Your Trusted Partner for Zirconia Crown Treatments
Tesla Travel proudly offers health-related services in Fethiye, Turkey, backed by our Micro Fue International Tourism Medical Consultancy Authorization Certificate obtained from the Ministry of Health of the Republic of Turkey. With a commitment to safety and excellence, we connect you with top physicians and polyclinics in Fethiye, ensuring your treatment is conducted with utmost care and professionalism. Trust in Tesla Travel as your reliable travel agency, accompanying you every step of the way during your treatment journey.

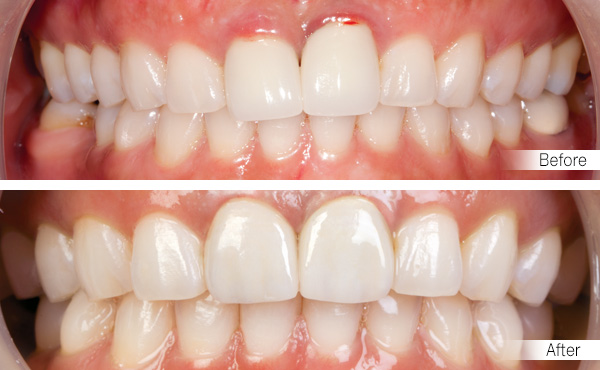
What is Zirconia Crown?
Zirconia Crown, also known as a dental cap, is a type of dental restoration made from zirconium oxide. Renowned for its durability and natural appearance, zirconia crowns are a popular choice for tooth restoration.
About Zirconia Crown in Fethiye, Turkey
In Fethiye, Turkey, Zirconia Crown treatments are performed with precision and expertise. With Tesla Travel’s assistance, you can access reputable clinics and experienced dentists who specialize in providing high-quality zirconia crown procedures.
Benefits of Zirconia Crown Coating in Fethiye, Turkey
Zirconia Crown Coating in Fethiye, Turkey offers numerous benefits, including enhanced aesthetics, durability, and biocompatibility. With Tesla Travel’s guidance, you can enjoy the advantages of zirconia crown coatings, ensuring a beautiful and long-lasting smile.
Can I Have a Zirconia Crown in Fethiye, Turkey?
Absolutely! Fethiye, Turkey, offers excellent facilities and skilled professionals for zirconia crown procedures. Tesla Travel facilitates your journey, assisting you in scheduling appointments and coordinating your treatment process seamlessly.
Side Effects of Zirconia Crown Veneering in Fethiye, Turkey
While zirconia crown veneering is generally safe, some individuals may experience temporary discomfort or sensitivity. Your dentist will provide personalized care instructions to minimize any potential side effects.
What Should I Pay Attention to When Making Zirconia Crown Veneer in Fethiye, Turkey?
When opting for zirconia crown veneers in Fethiye, Turkey, it’s essential to communicate your expectations clearly with your dentist. Additionally, follow post-procedure care guidelines diligently to ensure optimal results and longevity of your veneers.
Average Prices of Zirconia Crown Veneers in Fethiye, Turkey
The average prices of zirconia crown veneers in Fethiye, Turkey, may vary depending on factors such as the clinic’s reputation, materials used, and the complexity of the procedure. Tesla Travel can provide you with detailed cost estimates and help you find the best options within your budget.
Historical, Introductory, and Useful Information About Fethiye, Turkey
Fethiye, situated on Turkey’s stunning southwestern coast, boasts a rich history dating back to ancient times. Visitors can explore archaeological sites like the Lycian rock tombs, relax on pristine beaches, and indulge in delicious cuisine. With its charming atmosphere and breathtaking landscapes, Fethiye offers an unforgettable experience for travelers.
How to Get to Fethiye from Europe?
Fethiye is easily accessible from Europe via air travel. Dalaman Airport serves as the nearest international airport, with direct flights available from major European cities. Tesla Travel can arrange seamless airport transfers, ensuring a hassle-free journey to your destination.
Tesla Travel Information About Bodrum
Bodrum, another gem of the Turkish coast, is renowned for its vibrant nightlife, historical landmarks, and azure waters. Tesla Travel offers comprehensive health tourism services in Bodrum, allowing you to explore this enchanting destination while receiving top-notch medical care.
In conclusion, Tesla Travel is your trusted partner for Zirconia Crown treatments in Fethiye, Turkey. With our expertise and personalized assistance, we ensure a smooth and rewarding experience, from initial consultation to post-procedure care. Contact us today to embark on your journey to optimal dental health and unforgettable travel adventures in Turkey’s breathtaking coastal regions. Zirconia Crown in Fethiye Turkey
